初期虫歯の症状を見逃さずに歯の健康を守ろう!予防法も解説!
こんにちは。名古屋市北区大曽根にある医療法人晃生会 光輪歯科です。
初期虫歯は、痛みなどの自覚症状がないため気づきにくいのが特徴です。そのため、日頃からご自身の歯を観察し、何か症状がある場合は早めに歯科医院を受診することが大切です。
今回は、初期虫歯の症状や予防法について解説します。
虫歯の原因とメカニズム

虫歯は、一般的によく知られている病気の一つです。虫歯を引き起こすメカニズムは4つの要素が関係しています。歯の質、細菌、糖質、そして時間です。
歯の質
歯の質には個人差があります。歯の硬さやエナメル質の厚さは、一人ひとり異なるのです。生まれつき歯の質が柔らかい方や、エナメル質が薄い方は、虫歯になりやすいです。
細菌
口内に虫歯の原因となる菌がいなければ、虫歯にはならないでしょう。口内には常に多くの細菌が存在しています。
歯磨きが不十分な場合やプラークが歯に付着している場合、虫歯菌が繁殖しやすくなるのです。
糖質
虫歯菌は、摂取した糖質を餌として活動し、歯を溶かす酸を生成します。歯のエナメル質は酸に弱く、酸からの攻撃を受け続けると溶け始めるのです。
時間
酸の作用が持続すると、エナメル質が次第に弱まって最終的には穴があき、虫歯になります。歯の質・細菌・糖質の条件が重なる時間が長ければ長いほど、虫歯のリスクは高まるでしょう。
初期虫歯の症状

虫歯の進行は、COからC4までの5段階に分類されます。初期虫歯はCOとC1の段階を指し、まだ歯に穴があいていない段階です。
しかし、残念ながら初期虫歯の段階では、特有の痛みなどの自覚症状がほとんどありません。ご自身の口内の変化に気づかず、進行することが多いのです。
初期虫歯の症状は、以下のとおりです。
歯の表面が白く濁る
歯は通常、なめらかで透明感があります。虫歯が進行すると、虫歯菌の影響で歯の表面が白く濁った色合いに変わります。プラークに似ているため、見間違えることも多いです。
しかし、初期虫歯による白濁は、ブラッシングしても取れません。歯磨きをしても残る場合は、虫歯を疑ったほうがよいでしょう。
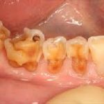
歯の表面や噛み合わせの溝が黒くなる
白濁がさらに進行すると、次第に茶色や黒色に変色します。特に、上の奥歯の溝部分は、視認しにくいです。発見が遅れることが多いので注意してください。
歯の表面がザラザラする
虫歯が進行すると、歯の表面がザラザラとします。舌で感じることができるほか、デンタルフロスを使用した際にもザラつきを感じるでしょう。
初期虫歯が進行するリスク

初期虫歯を放置すると、徐々に進行します。特に、日常のプラークコントロールが不十分な方や、もともと虫歯になりやすい体質の方、定期的な歯科検診を受けにくい環境にある方は、進行リスクが高まります。
虫歯が進行すると、治療が複雑になるばかりか、痛みやほかの症状が現れる可能性があるでしょう。虫歯が進行するリスクが高い方は、少しでも異変を感じたら早めに歯科医院を受診してください。
初期虫歯の早期発見の重要性

初期虫歯は、その名のとおり虫歯の最初の段階です。痛みや不快な症状がないことが多いですが、早期に発見することが重要です。
初期虫歯を早期に発見する重要性を確認しましょう。
痛みを避けられる
上述しましたが、初期虫歯は痛みなどの不快な症状がないことが多いです。気づくことが難しい反面、初期段階で治療できれば虫歯による痛みを感じることはありません。
虫歯が進行して神経に到達すると、非常に強い痛みを感じます。痛みで眠れないという方も少なくありません。
早期に発見できれば、痛みを感じることなく治療できるのです。
大掛かりな治療を行う必要がない
初期虫歯を早期に発見できれば、フッ素塗布や丁寧なブラッシングで改善できる場合があります。削る必要があったとしても、削る範囲は狭いでしょう。
虫歯が進行している場合は大きく削らなければなりませんが、歯を削ることは歯の寿命を縮めることにつながります。大きく歯を削る必要がない初期段階で治療することが、歯を守るために重要なのです。
また、大掛かりな治療が必要なければ、治療費用も安くなります。経済的な負担が減ることは、患者さまにとって大きなメリットでしょう。
初期虫歯の治療法

初期虫歯の治療では、歯を削ることはほとんどありません。初期虫歯は歯の再石灰化を促すことで治癒できる可能性が高いため、PMTCやフッ素塗布などが主な治療法となります。
ブラッシング指導
初期虫歯を進行させないためには、正しいブラッシングを行うことが大切です。歯ブラシを用いて、歯の表面や歯と歯茎の境界部分を丁寧に磨くことで、歯垢やプラークの蓄積を抑えられます。
ご自身ではしっかり磨けているつもりでも、磨き方には一人ひとり癖があります。歯並びや歯の形状、溝の深さなどが影響して、磨き残しが生じる部分があるでしょう。
歯科医院では磨き残しや磨き方の癖を確認し、一人ひとりに合ったブラッシング方法を指導しています。適切な磨き方を習得することで、初期虫歯を治療できる場合があります。
PMTC
初期虫歯の予防や治療には、日常のブラッシングだけでなく専門的なケアも欠かせません。専門的なケアの一つが、PMTC(プロフェッショナル・メカニカル・トゥース・クリーニング)です。
歯科医院で行われる特別なクリーニング方法で、歯科衛生士が特定の器具を使用して、歯垢や歯石を取り除いて歯の表面を丁寧に洗浄することを指します。
通常のブラッシングでは取り除けない微細な汚れもしっかりと除去し、歯の健康を維持することが可能です。特に、初期虫歯の治療や予防のためには、PMTCが効果的です。
プロフェッショナルなクリーニングが虫歯の悪化・再発を防ぐでしょう。
フッ素塗布
虫歯の予防や初期虫歯の治療には、フッ素の力が非常に有効です。フッ素は、歯を強固にし、虫歯の発生や進行を防ぐ役割を果たします。
特に、歯科医院でのフッ素塗布は、初期虫歯に対する取り組みとして頻繁に採用されています。
歯の表面に直接フッ素を塗布することで、歯質そのものを強化することが可能です。虫歯の再発のリスクを大きく低減させられるでしょう。
虫歯を予防する日常的なケア方法

日常的なケアを適切に行うことで、虫歯のリスクを低減できます。以下、日頃からできる口腔ケアの方法についてご紹介します。
適切な口腔ケアを行う
何度も繰り返しますが、初期虫歯の予防やケアにおいて、日常の正しいブラッシング方法は非常に重要です。
ブラッシングを行う際は、歯の表面だけでなく、歯と歯茎の境界部分にも効果的にアプローチしましょう。歯ブラシを45度に傾けて磨くことが推奨されます。
特に食後は、食べかすなどの影響で歯垢が発生しやすいです。毎食後しっかりと歯磨きをすることが大切です。
また、夜間は口内の細菌が繁殖しやすくなります。寝る前のケアは特に重要なので、就寝前のブラッシングは念入りに行いましょう。
歯ブラシだけでは届きにくい部分もケアすることが重要です。デンタルフロスや歯間ブラシを併用することで、より完全なケアを実現できます。
日常のケアを怠らないことで、初期虫歯の進行を予防し健康な口内環境を保つことができるでしょう。
フッ素入りの歯磨き剤を使用する
フッ素の力を最大限に活用するための方法として、フッ素配合の歯磨き剤や洗口液を使用することが挙げられます。毎日のブラッシングや口腔ケアにフッ素を取り入れることで、虫歯を予防できるでしょう。
食生活を改善する
虫歯は、細菌が糖分を摂取して生成した酸が歯を溶かすことで発生します。糖分の摂取量を制限することは、虫歯の発生リスクを減少させるだけでなく、重症化を防ぐことにつながるでしょう。
食事を長時間にわたって取る、おやつ・ジュースなどの甘い飲食物をダラダラと飲食するなど、口内が酸性に傾く時間が長いと虫歯になりやすいです。食事の内容や食事の仕方は、虫歯のリスクに直結します。食習慣を見直し、適切な食生活を心がけることで、効果的に虫歯を予防できるでしょう。
定期的にメンテナンスを行う
口腔内の汚れは、日常のブラッシングだけでは完全に落とせません。汚れを完全に取り除くためには、専用の器具を用いたプロによる洗浄(PMTC)が必要です。
日々のケアと歯科医院でのプロフェッショナルなケアを組み合わせることで、虫歯から歯をしっかりと守れるのです。そのため、3~6か月に1回のペースで歯科医院を受診し、定期的なメンテナンスを受けてください。
まとめ

虫歯は、多くの人が経験する口腔疾患の一つです。特に、初期の段階では症状が出にくいため、ご自身で気づかないまま進行してしまうことが少なくありません。
しかし、初期の虫歯を放置すると、治療が複雑になるリスクが高まります。触診する、レントゲンを撮影する、ダイアグノデント光学う蝕検知装置で低出力のレーザー光を照射するなど、虫歯を確実に見つけることが重要です。
ダイアグノデント光学う蝕検知装置は、虫歯特有の蛍光反射を検知して虫歯の深さを数値化する装置です。肉眼では虫歯の深さを確認することはできませんが、ダイアグノデント光学う蝕検知装置を使用すれば患者さまに負担をかけることなく調べられます。
日常生活での適切なケアや、食習慣の見直しが虫歯の予防に大きく関係します。フッ素入りのケア用品を使用することや、定期的に歯科検診を受けることで、虫歯のリスクを低減できるでしょう。
最も大切なのは、ご自身の口の中をよく観察し、異変を早期に発見することです。虫歯のリスクが高い部分や磨き残しやすい部分には、特に注意してください。
早期発見と適切な治療が、健康な口腔環境を保つために重要です。
初期虫歯の治療を検討されている方は、名古屋市北区大曽根にある医療法人晃生会 光輪歯科にお気軽にご相談ください。
名古屋市北区大曽根の光輪歯科はリラックスできる空間作り、患者様への心遣い、最新の設備でニーズに合わせた治療にこだわります。
- お問い合わせはお電話もしくは
お問い合わせフォームから! -
9:00~18:00 ※休診日:日曜・祝日
前の記事 : ホワイトニングで痛いと感じる原因と対処法を詳しく解説!
次の記事 : ホワイトニング後はふだんどおりに食事できる?控えるべきものとは?
カテゴリー
最新の記事

審美治療
-
セレックシステム
歯の型を採ることなく最短1日でセラミックの白い歯が手に入る最先端のシステムです。

-
ホワイトニング
加齢や遺伝、食生活などによって変色した歯を漂白剤で脱色して白くする方法です。

-
矯正治療
お子さま〜成人まで各年代に合った矯正治療の装置をご用意しております。

メニュー

審美治療
-
セレックシステム
歯の型を採ることなく最短1日でセラミックの白い歯が手に入るシステムです。

-
医療ホワイトニング
加齢や遺伝、食生活などによって変色した歯を漂白剤で脱色して白くする方法です。

-
矯正治療
お子さま~成人まで各年代に合った矯正治療の装置をご用意しております。

-
インプラント
人工の歯根を植え顎骨と固定して、それを土台に人工の歯を装着する方法です。

メニュー
治療について
- » 治療の流れ
- » 虫歯治療
- » 歯周病治療
- » 入れ歯治療
- » 口腔外科治療
- » 小児歯科
- » レーザー
- » ブルーラジカル治療
- » 医療ホワイトニング
- » 予防歯科
- » 矯正治療
- » 審美歯科
- » インプラント
- » セレックシステム
- » 口腔機能低下症
(食べにくい・飲み込みにくい) - » 口腔機能低下症の検査
- » 特殊外来(ドライマウス・口臭)
- » スポーツ歯科
- » 訪問歯科診療
- » 妊産婦健診
- » よくある質問
- » 症例集
- » 医療費控除について


















